**All photos are of actual treatment performed by Dr. Chris Miller**
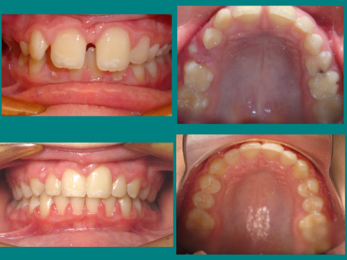
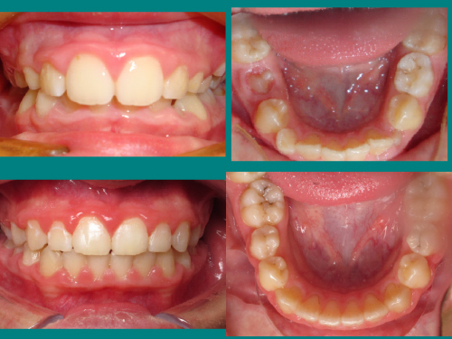
Michelle
before
after
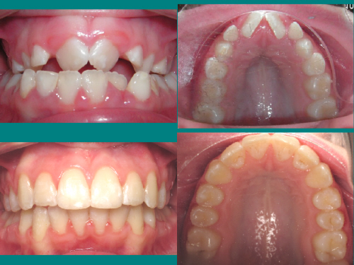
Steven
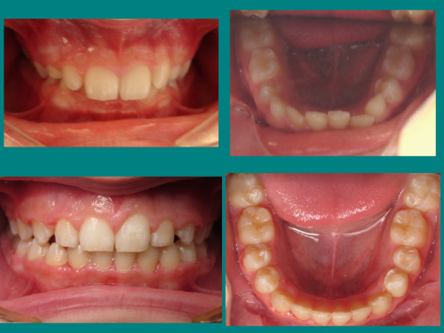
Ryan
Danielle